Россия
Россия
Исследованы производственные, биохимические и морфофизиологические показатели мальков карпа, которых выращивали на кормах, включавших натуральный кремнезем (опоку). Исследования были выполнены на сеголетках чешуйчатого карпа (Cyprinus carpio). В качестве кормовой добавки применяли опоку. Минерал в форме добавки представлял собой порошкообразную субстанцию сероватого оттенка, измельченную до фракции 1 мм. Схема исследования включала 3 группы. Первая группа – контроль – получала стандартный корм. В корм двух экспериментальных групп включали минеральную добавку. В первом случае ее концентрация составляла 3 % (вариант корма 1), во втором случае 6 % (вариант корма 2). Продолжительность исследования составила 45 суток. Для оценки воздействия кормовой добавки на организм рыб использовали комплекс методов: рыбоводно-биологических (оценивали выживаемость, прирост массы тела и интенсивность роста рыб), биохимических (определяли содержание жира, протеинов, золы, азота и влаги), – а также оценивали морфологическое состояние кишечника. Выживаемость молоди при использовании экспериментальных кормов была на 10 % выше по сравнению с контролем. Прирост массы за время проведения экспериментов составил 53 и 11 % относительно контроля. Биохимические показатели контрольной молоди и рыб, получавших корм с добавками, существенно не отличались, что говорит о хорошем качестве задаваемого комбикорма. Использование опоки в качестве кормовой добавки не приводит к каким-либо травмам или морфологическим изменениям в кишечнике. Выполненное на сеголетках карпа исследование показывает возможность применения опоки в качестве добавки в рацион молоди рыб, при этом наиболее оптимальной концентрацией опоки является 3 %.
опока, карп, сеголетки, комбикорм, кишечник, продукционные, биохимические и морфофизиологические показатели
Introduction
One of the promising directions in the technology of feed production for the cultivation of aquaculture facilities is the use of substances with sorption properties. The use of sorbents makes it possible to increase the resistance of fish to the effects of adverse environmental factors, increase the shelf life of compound feeds, which has a positive effect on both the quality of grown products and their cost. Of the natural sorbents with an effective sorption effect, salica clay may be of interest. This mineral is mainly formed by opal and has highly effective sorption properties [1]. One of the properties of the salica clay is its ability to effectively absorb ammonia, which prevents its penetration from the intestines into the blood of fish, and therefore reduces its toxic effect. In addition, ammonia fixed in the intestine with a sorbent can become a substrate for the development of its own microflora, which can also have a positive effect on the physiological state of fish.
At the same time, despite the possible positive effects of sorbents on the quality of cultivated products and economic benefits, the issue of sorbent safety remains relevant in terms of their impact on fish-breeding biological, biochemical and morphophysiological indicators.
Materials and methods
The studies were performed on fingerlings of the scaly carp Cyprinus carpio (Linnaeus, 1758). Juvenile carp were kept in laboratory conditions, in aquariums with a volume of 2.8 m3. Each experimental group consisted of 25 individuals. The weight of the fingerlings at the beginning of the study averaged 15 grams. Direct-flow water supply was used to maintain the necessary conditions. Throughout the experiment, the following environmental parameters were monitored and maintained: oxygen content – in the range from 7.2 to 9.0 mg/l, pH – from 6.6 to 7.2. The water temperature was maintained within 3°C, which corresponded to the winter habitat period. To control the oxygen content, a Cyber Scan DO 300 thermooximeter with a measurement error of ±1.5% was used, the pH was determined by a Hanna pH meter with a measurement error of ±0.2.
Silica extracted in the Astrakhan region (Kamennoyarskoye deposit) was used as a premix to compound feed. The mineral in the form of an additive was a powdery substance of a grayish hue, crushed to a fraction of 1 mm according to specifications (5711-002-51652069-2001) (Table 1).
Table 1
Chemical composition of salica clay
|
Macroelements |
Content, % |
|
Silicon oxide (SiO2) |
86.2 |
|
Alumina (Al2O3) |
4.15 |
|
Ferric oxide (Fe2O3) |
1.56 |
|
Titanium oxide (TiO2) |
0.2 |
Ending of table 1
|
Macroelements |
Content, % |
|
Potassium oxide (К2О) |
1.2 |
|
Calx (СаО) |
1.0 |
|
Sodium oxide (Na2O) |
< 0.5 |
|
Magnox (MgО) |
< 1 |
|
Silicat (SiO3) |
< 0.72 |
To assess the effect of a feed additive on the fish body, a set of methods was used: fish-biological (survival, body weight gain and growth rate of fish were evaluated), biochemical (fat content of proteins, ash, nitrogen and moisture were determined [2].
The study scheme included 3 groups. The first group was the control (received standard food). A mineral supplement was added to two experimental groups. In the first case, its concentration was 3% (feed variant 1), in the second case - 6% (feed variant 2).
The choice of the concentration of the mineral additive was based on available literature sources devoted to the study of the effect of zeolite-clinoptilolite additives on the cultivation of pond fish (trout and carp) [3, 4], as well as sturgeon [5]. The duration of the study was one and a half months.
Survival was estimated as a percentage of the total number of youngsters in the group.
The change in fish body size was assessed using the Pravdin method [6]. The accuracy of linear measurements using a caliper was 0.02 mm.
The intensity of growth per day was calculated using the formula of complex processes [7].
Body weight was assessed on laboratory scales with a measurement accuracy class (II - high).
The moisture content in the tissues was determined by drying, the amount of fat by extraction, the amount of protein by the Kjedal method, the ash content by burning in a muffle furnace at a temperature of 500 °С) [8].
Histological methods were used to assess the effect of the feed additive on the intestinal condition. For this purpose, histological preparations of intestinal tissue were made, stained with histological dyes (hematoxylin and eosin) and the tissue structure was evaluated using an Olimpus BX 53 light microscope [9].
The Student's criterion was used for statistical processing of the analysis of the obtained results [10].
Results and discussions
The addition of salica clay to compound feed during the cultivation of juvenile carp led to a more intensive increase in body weight compared to control individuals (Fig. 1).

Fig. 1. The growth rate of juvenile carp on compound feeds with the addition of salica clay
At the same time, the most significant changes were noted when using the first experimental feed variant, when using which, at the end of the experiment, the increase was 6.9 g. In addition, feed variant 1 with the addition of the mineral also showed the most optimal feed usage costs, which amounted to 1.2 versus 1.4 in the control. The survival rate of fish when using feed with additives was 10% higher compared to the control (Table 2).
Table 2
Production parameters for carp rearing with an application of salica clay
|
Parameters |
Variants |
||
|
Control |
Feed variant 1 |
Feed variant 2 |
|
|
Initial weight, g |
14.4 ± 3.52 |
16.1 ± 7.3 |
15 ± 3.9 |
|
Final weight, g |
14.34 ± 3.7 |
23.0 ± 8.9 |
19.0 ± 4.36 |
|
Absolute growth, g |
–0.06 |
6.9 |
4.0 |
|
Daily growth rate, g |
–0.0013 |
0.153 |
0.09 |
|
Specific growth rate, % |
–0.02 |
0.79 |
0.53 |
|
Coefficient of weight storage |
0 |
0.021 |
0.013 |
|
Survival rate, % |
90 |
100 |
100 |
|
Food conversion ratio |
1.4 |
1.2 |
1.3 |
Such low growth rates can be associated with low water temperatures (carp in ponds at temperatures below 5°C does not feed), however, in our case, the fish continued to consume feed, which indicates the possibility of including salica clay in the diet during the wintering period, so that the fish does not lose weight. Compared with the control, the fingerlings who received the experimental feed behaved quite actively, consumed food well, which had a positive effect on the dynamics of body weight gain. In the control individuals, the
dynamics of body weight was negative. Analysis of biochemical parameters of juvenile carp showed no significant differences, which indicates the good quality of the feed being given. The mass fraction of crude protein (%) of the experimental variants exceeded the control by 2.06 and 2.04%, respectively. The lowest mass fraction of moisture (%) was noted in the first experimental version, it turned out to be less than the control by 3.8%, option 2 – by 1.5% (Table 3).
Table 3
Biochemical parameters in carp body flesh, fed with salica clay feed
|
Indicators |
Variants |
||
|
Control |
Feed variant 1 |
Feed variant 2 |
|
|
Nitrogen, % |
2.05 |
2.17 |
2.06 |
|
Fat, % |
4.14 |
5.92 |
4.43 |
|
Protein, % |
11.38 |
13.44 |
13.42 |
|
Ash, % |
2.23 |
2.07 |
2.19 |
|
Moisture, % |
80.2 |
76.4 |
77.9 |
|
Fat acid value, mg KoH/g |
1.5 |
1.8 |
1.7 |
Thus, the analysis of fish-breeding biological and biochemical parameters clearly demonstrates the positive processes occurring in the body of juvenile carp when a natural mineral is added to the feed. Despite the wintering conditions, which should lead to a decrease in the rate of nutrition, the results show a fairly good digestibility of feed, which in turn is expressed in the positive dynamics of body weight gain and 100% survival of individuals of experimental groups.
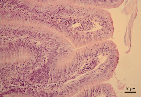
A feature of the structure of the carp's digestive system is the absence of a stomach, since it is not a classic predatory fish. In this regard, the main effect of food components, including mechanical, is assumed by the intestine. The structural and functional cells of the intestine are enterocytes. In carp enterocytes, regardless of the experimental group, there are nuclei with two nucleoli. The inner surface of the intestine is lined with edged epithelium, which forms villi and crypts. In the intestinal epithelium, there is a large number of goblet-shaped cells filled with digestive juice with digestive enzymes (Fig. 2).

Fig. 2. Intestines of carp (control group):
a – edged intestinal epithelium; b – goblet cells with digestive enzyme; c – intestinal villi with blood and lymph vessels
A similar picture may indicate ongoing digestive processes. As a representative of the immune system, there is a large number of white blood cells in the in testine (Fig. 3), which protect the body from possible penetration of adverse substances into the body.

Fig 3. Micrography of the intestinal endothelium of the carp of the control group. The arrows indicate lymphocytes
This mechanism is considered as protective and adaptive [11].
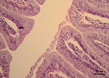
The addition of a mineral additive in the form of salica clay to the feed at both a concentration of 3% and a concentration of 6% (Fig. 4, 5) did not cause any destructive changes in the structure of the inner intestinal wall.

Fig. 4. Micrography of carp intestines, when using the first feed option (no differences from the control were revealed)
The apical surface and microvilli of intestinal enterocytes looked intact.
There was no focal accumulation of lymphocytes, which could indicate the presence of inflammatory or necrotic processes.

Fig. 5. Micrography of carp intestines, when using the second feed option (no differences from the control were found)
On micro-preparations of the intestines of juvenile carp fed with a mineral supplement, a greater number of white blood cells can be noted. This phenomenon may be due to the fact that food, being a substance foreign to the body, causes tension in the immune system. Accordingly, the more intensively the nutrition process takes place, the more pronounced the lymphatic infiltration of the intestinal epithelium will be.
Conclusion
The analysis of fish-breeding biological and biochemical parameters clearly demonstrates the positive processes occurring in the body of juvenile carp when a natural mineral is added to the feed. The addition of salica clay to compound feed during the cultivation of juvenile carp led to a more intense increase in body weight, compared with control individuals. The most significant changes were noted when using an experimental version of the feed containing salica clay at a concentration of 3%. In addition, this feed option also showed the most optimal feed usage costs. The survival rate of fish when using feed with additives was 10% higher compared to the control.
Analysis of biochemical parameters of juvenile carp showed no significant differences, which indicates the good quality of the feed being given.
The use of salica clay as a feed additive does not lead to any injuries or morphological changes in the intestine.
A study performed on carp fingerlings shows the possibility of using salica clay as an additive in the diet of juvenile fish, while the most optimal concentration of salica clay is 3%.
1. Шарапова А. В. Обезвреживание сточных вод от тяжелых металлов под действием ультразвука и утилизация противообледенительных жидкостей с применением природных сорбентов: дис. … канд. хим. наук. Ульяновск, 2015. 114 с.
2. Пономарев С. В., Гамыгин Е. А. и др. Техноло-гии выращивания и кормления объектов аквакультуры юга России. Астрахань: Нова-плюс, 2002. 264 с.
3. Таратухин В. А., Шимульская Л. К. Корм для карпа с добавкой цеолитового туфа // Рыбное хозяй-ство. 1984. № 9. С. 35–36.
4. Канидьев А. Н., Лабутин В. Г. Эффективность добавления в комбикорм радужной форели природного цеолита (клиноптилолита) // Вопр. интенсификации прудового рыбоводства. М.: Изд-во ВНИИПРХ, 1985. Вып. 45. С. 178–184.
5. Панчихина Ж. А. Рыбоводно-биологическая эф-фективность природных цеолитов в комбикормах для молоди бестера: дис. … канд. биол. наук. Ростов н/Д, 2001. 98 с.
6. Правдин П. Ф. Руководство по изучению рыб. М.: Пищ. пром-сть, 1966. 250 с.
7. Castell J. D., Tiews K. Report of the EIFAC, IUNS and ICES Working Group on the standardization of the methodology in fish nutrition research // EIFAC Tech. pap. 1979. V. 36. P. 1–24.
8. Абросимова Н. А., Абросимов С. С., Савенко Е. М. Кормовое сырье и добавки для объектов аквакуль-туры. Ростов н/Д.: Эверест, 2005. 144 с.
9. Микодина Е. В., Седова М. А. и др. Гистология для ихтиологов: опыт и советы. М.: Изд-во ВНИРО, 2009. 112 с.
10. Лакин Г. Ф. Биометрия: учеб. пособие. М.: Высш. шк., 1990. 352 с.
11. Зайцев В. Ф., Мелякина Э. И., Гусейнова С. А., Крючков В. Н., Лавриненко А. В. Накопление тяжелых металлов в донных отложениях и физиологическое состояние осетровых рыб Волго-Каспийского бассейна // Юг России: экология, развитие. 2009. № 4. С. 193–199.



