Представлены гистологические результаты исследования органов личинок и половозрелых особей серебряного карася Carassius auratus gibelio (Bloch, 1782), выловленных в водоемах дельты р. Волги. Ана-лиз состояния внутренних органов и тканей помогает выявить физиологические нарушения и патологии. Благодаря гистологическому методу становится возможным изучение структуры организма на клеточном и тканевом уровне, определение развития патологического процесса и степени поражения. Для патоморфологической оценки у разновозрастных рыб серебряного карася исследовали печень, жабры, почки, селезенку, кишечник и поджелудочную железу. Установлено, что разновозрастные представители этого вида имели идентичные патологические изменения в органах, но степень их проявления отличалась: прослеживалась тенденция к увеличению интенсивности патологии с возрастом. Обнаружено 4 типа основных патологических изменений, связанных с нарушением метаболизма, некротические повреждения клеток и тканей, расстройства кровообращения органов и признаки гиперплазии. Половозрелые особи имели более высокий уровень патологических проявлений. В большей степени были повреждены жабры, которые напрямую контактируют с окружающей средой. Печень исследуемых рыб также имела значительные повреждения. Наиболее часто регистрируемой патологией печени являлась липоидная дегенерация (вакуольная дистрофия). Для почек, кишечника и селезенки были характерны дегенеративные и некротические нарушения. В селезенке взрослых особей обнаружено гранулематозное воспаление, что свидетельствует об инфекционных заболеваниях. У личинок и половозрелых особей были обнаружены одни и те же виды морфологических изменений, что свидетельствует о неспецифическом характере выявленных патологий, которые, как правило, связаны с приспособлением организма к сложившимся условиям обитания.
серебряный карась, личинки, половозрелые особи, гистологический срез, патология, жабры, почки, кишечник, селезенка
Введение
Серебряный карась Carassius auratus gibelio (Bloch, 1782) – вид с огромным современным ареалом, охватывающим Евразию и Америку. Согласно одной из точек зрения, распространение серебряного карася в Европе является результатом очень давнего завоза представителей вида из Китая или Японии. Согласно другой версии, в Центральной Европе он является автохтоном [1]. В начале 1950-х гг. вместе с другими представителями водоемов ильменного типа карась стал типичным видом для предустьевого пространства Волги [2]. Более подробные сведения о биологии карася в водоемах дельты Волги начали появляться с 1980-х гг. [3–5].
Популяция серебряного карася резко увеличилась во второй половине XX в., когда была зафиксирована вспышка численности представителей этого вида во многих водоемах. Это явление отмечалось и в нижней Волге [6]. Если изначально серебряный карась заселял только низовье реки, то на современном этапе он стал расселяться как вверх по течению, так и в море, сформировав полупроходные популяции. Постепенно карась превратился в массовый интенсивно расселяющийся вид. Карась благоприятно себя чувствует при быстрых течениях рек, в водохранилищах, озерах, не избегает солоноватой морской воды. В настоящее время распространение серебряного карася продолжается, он заселяет все новые озера, реки и водохранилища. Сегодня серебряный карась становится одним из основных промысловых видов в водоемах юга европейской части России [7]. Соотношение полов данного вида варьирует в широких пределах, что связано с гиногенетическим способом размножения [8].
Надежным показателем благополучия рыб является состояние их внутренних органов и тканей, которое проявляется в виде широкого спектра физиологических нарушений и патологий. Гистологический метод исследования позволяет изучить структуру строения организма на клеточном и тканевом уровне, определить развитие патологического процесса и оценить степень распространения поражения [9]. Цель работы – провести патоморфологическое исследование разных возрастных групп серебряного карася для оценки состояния популяции данного вида.
Материал и методы исследования
Материал собран в 2020–2021 гг. на различных водотоках р. Волги. Объектом исследования служили ранняя молодь и половозрелые особи серебряного карася. Всего было исследовано 60 личинок и 40 экземпляров взрослых рыб. Для гистологического анализа отбирали печень, почки, поджелудочную железу, селезенку, кишечник и жабры. Взятый материал фиксировали в 4 %-м растворе формалина. Использовали классические гистологические методики [10, 11]. Полученные гистологические срезы просматривали под световым микроскопом «Микромед-2». Для микрофотосъемки использовали фотонасадки Soni DSC-W7.
Результаты исследования
Печень ранних личинок серебряного карася была еще не сформирована: гепатоциты располагались хаотично, без строгой упорядоченности. Для всех исследованных личинок было характерно наличие нарушения гемодинамики органа. Густая сеть кровеносных сосудов была забита форменными элементами крови (рис. 1, а).
|
а б
Рис. 1. Фрагмент печени серебряного карася: а – личинка: 1 – гепатоциты с жировой каплей;
Fig. 1. Fragment of the liver of silver crucian carp: a – larvae: 1 – hepatocytes with a fat drop; |
У половины обследованных личинок отмечено наличие расширенных синусоидных капилляров в органе. На гистологических срезах в одном поле зрения для 10 % гепатоцитов была характерна как крупнокапельная, так и мелкокапельная жировая дистрофия.
В отличие от личинок у половозрелых особей в печени была четко выражена трабекулярная архитектоника. Границы клеток выявлялись нечетко в связи с отеком печеночной ткани. Цитоплазма гепатоцитов мутная, ядра полиморфны, имели плохо выявляющиеся границы. Как для ранней молоди, так и для взрослых особей (75 %) были характерны признаки жировой дистрофии. Также были выявлены нарушения микроциркуляции: печеночные капилляры плотно заполнены форменными элементами крови, причем диаметры их резко варьировали, имелась масса геморрагий и мелких некрозов. У отдельных особей (42 %) на гистологических препаратах ткань печени имела мускатный вид, при этом для сосудов печени этих рыб был характерен венозный застой, а синусоидные капилляры органа были сильно расширены и заполнены элементами крови (см. рис. 1, б).
Поджелудочная железа личинок незначительных размеров визуализировалась чуть выше кишечной трубки и представляла собой скопление ацинусов экзокринной части органа. Ацинусы состояли из панкреацитов, в которых уже четко была заметна апикальная (оксифильная) и базальная (базофильная) часть клеток (рис. 2, а).
|
Рис. 2. Фрагмент органов серебряного карася: а – селезенка и поджелудочная железа личинки:
Fig. 2. A fragment of the organs of silver crucian carp: а – spleen and pancreas of the larva: |
У взрослых особей ткань поджелудочной железы была сильно отечной и эндокринная часть не визуализировалась. Границы клеток ацинусов плохо различались. Апикальная область клетки была плотно заполнена яркими эозинофильными гранулами зимогена. У отдельных особей регистрировались округлые цисты паразитов. Стенка капсулы была сильно утолщена за счет разрастания соединительной ткани. Ткань железы вокруг цисты некротизирована и инфильтрирована макрофагами.
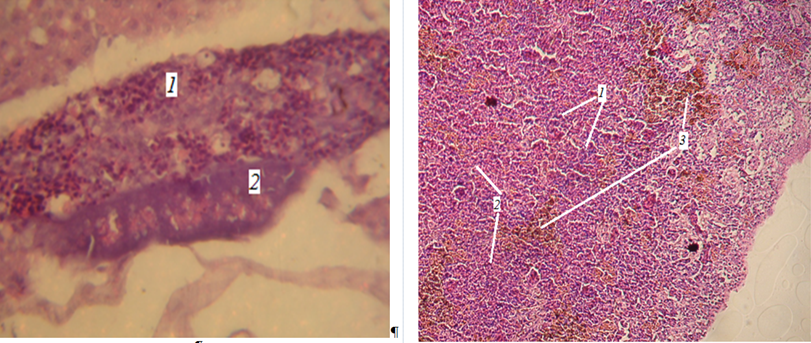
Незначительных размеров селезенка исследованных личинок находилась между кишечником и печенью. Строма органа была представлена крупными светлыми ретикулярными клетками, среди которых выявлялись участки скоплений клеток красной и белой крови, находящиеся на разных стадиях дифференцировки. Трабекулы не визуализировались. Орган был густо пронизан сетью сосудов (см. рис. 2, а).
У половозрелых рыб отмечались нечеткие границы между красной и белой пульпой. Выявлены массы гранул гемосидерина разной величины
и формы (см. рис. 2, б). Среди ретикулярных клеток имелись скопления лимфоцитов, моноцитов, эритроцитов. В участках белой пульпы часто находились светлые центры. Вокруг центральных артерий имелись плотные скопления лимфоцитов в виде округлых образований или в виде длинных лент. Мелкие некротические участки регистрировали у 45 % обследованных рыб. У отдельных особей (17 %) в сосудах селезенки выявлен гемолиз и все сосуды были расширены.
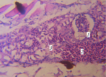
При световой микроскопии гистологического среза селезенки были обнаружены характерные гранулемы округлой формы разного диаметра. Данные образования были рассредоточены по всему органу. Снаружи гранулема состояла из соединительнотканной ткани, а с внутренней стороны ее стенка была пигментирована (рис. 3).
В отдельных участках наблюдалось увеличение доли соединительной ткани гранулем, где в наружной зоне встречались капилляры и клеточный инфильтрат из лимфоцитов. В строме органа, в зоне нахождения гранулем, находились очаги некроза, где регистрировался клеточный детрит. Гранулезное воспаление селезенки отмечено у 5 % обследованных половозрелых особей.
Подобная картина была обнаружена иностранными учеными в печени и селезенке взрослых особей серебряной арованы (Osteoglossum bicirrhosum, Cuvier, 1829). В 2019 г. K. Varello с соавторами установили, что гранулематозные поражения являются признаком хронического инфекционного заболевания, вызываемыми микобактериями [12].
|
|
|
Рис. 3. Фрагмент селезенки половозрелого карася:
Fig. 3. A fragment of the spleen of a sexually mature silver crucian carp: |
При исследовании состояния кишечника у личинок выявлены небольшие участки со слущенным эпителием, выстилающим полость пищеварительной трубки. Каемчатый эпителий кишечника характеризовался наличием большого количества гипертрофированных бокаловидных клеток (рис. 4, а).
|
а б Рис. 4. Фрагмент кишечника серебряного карася: а – личинка: 1 – некроз эпителия; 2 – бокаловидные клетки;
Fig. 4. Fragment of the intestine of silver crucian carp: a – larva: 1 – necrosis of the epithelium; 2 – goblet cells; |
В собственно пластинке оболочки кишки у половины обследованных рыб регистрировали участки, инфильтрированные лимфоцитами.
У половозрелых особей серебряного карася задний отдел кишечника характеризовался наличием кишечных ворсинок разной высоты, толщины
и формы, которые почти полностью заполняли полость кишки. Наиболее толстым отделом стенки кишечной трубки являлась слизистая оболочка, пропитанная лимфоцитами. Несколько тоньше была мышечная оболочка, особенно толстым был ее циркулярный слой. Наиболее тонкой являлась серозная – внешняя оболочка. Кишечные ворсинки выстланы каемчатым эпителием, среди клеток которого, особенно на верхушках, располагались переполненные слизью бокаловидные клетки. На верхушках некоторых ворсинок наблюдалась отслойка или каемчатых, или бокаловидных клеток от их базальной мембраны (см. рис. 4, б).
На ранних этапах развития у серебряного карася имелись головная и туловищная части мезонефроса, локализующиеся в разных частях тела. Количество почечных телец было незначительным, причем у имеющихся телец было расширено мочевое пространство. Полость канальцев была заполнена бесструктурным веществом. Для клеток эпителия канальцев была характерна баллонная (гидропическая) дистрофия, при этом фиксировали отторжение части цитоплазмы (рис. 5).
|
|
|
Рис. 5. Фрагмент мезонефроса личинки карася: 1 – почечное тельце с расширенным мочевым пространством;
Fig. 5. Fragment of the mesonephros of silver crucian carp: 1 – renal corpuscle with enlarged urinary space; |
У половозрелых особей в межканальцевой ткани имелись признаки отека. Довольно мелкие почечные тельца разной формы характеризовались наличием клубочков со слившимися петлями капилляров. Мочевые пространства в большинстве почечных тел полулунной формы занимали примерно половину объема тельца. Внутрипочечные сосуды были расширены и заполнены элементами крови.
В жаберной полости личинки карася насчитывалось по 4 жаберной дуги по обеим сторонам головы, на пятой жаберной дуге дыхательные элементы отсутствовали. В основании жаберной дуги и филаментов находился гиалиновый хрящ. Длина филаментов развивающихся жабр была неодинаковой. Количество ламелл колебалось от 10 до 20 шт. с каждой стороны филамента. Кровеносные сосуды, заполненные форменными элементами крови, густо пронизывали филаменты и ламеллы. Ламеллы развивающихся жабр были неравномерной длины и имели извилистую форму. Респираторный эпителий ламелл разрастался, формируя утолщения на концевых участках.
У старших возрастных групп рыб в пространстве между филаментами, у их основания, имелись сплошные ряды многослойного неороговевающего эпителия (24–26 рядов). Почти до нижней трети филамента определялся только слой многослойного эпителия, без присутствия ламелл. Выше находились относительно длинные и извитые ламеллы, покрытые однослойным кубическим респираторным эпителием. Выше этих участков снова на филаментах появлялся слой многослойного неороговевающего эпителия (с отсутствием ламелл). Все сосуды в жабрах были переполнены форменными элементами крови, особенно те капилляры, которые направлялись внутрь ламелл. Следует отметить, что капилляры имели разные диаметры. В жабрах обнаружены цисты паразитов. Хрящевая пластинка, лежащая в основе филаментов, была также различна по своей толщине на протяжении самого филамента, причем она состояла из разного количества довольно крупных хрящевых клеток с очень ограниченным количеством основного аморфного вещества (рис. 6).
|
Рис. 6. Фрагмент жабр серебряного карася: а – личинка: 1 – расширенный кровеносный сосуд;
Fig. 6. Fragment of the gills of silver crucian carp: a – larva: 1 – dilated blood vessel; б – sexually mature individual: Hematoxylin-eosin, enlargement × 760 |
В ходе проведенных гистологических исследований внутренних органов серебряного карася у личинок и половозрелых особей были обнаружены одни и те же виды морфологических изменений, что свидетельствует о неспецифическом характере выявленных патологий, которые, как правило, связаны с приспособлением организма к сложившимся условиям обитания. Данные изменения направлены на сохранение жизни организма, а в дальнейшем, возможно, на восстановление поврежденных структур и нарушенных функций [12]. Анализ результатов исследований показал, что прослеживается тенденция к увеличению доли пораженных особей и интенсивности патологии с возрастом. Обнаружены и зафиксированы 4 типа основных патологических изменений, которые имели различную степень выраженности у разных возрастных групп рыб: патологии, связанные с нарушением метаболизма, некротические повреждения клеток и тканей, расстройства кровообращения органов, признаки гиперплазии. Все выявленные морфологические нарушения являются следствием воздействия факторов среды обитания и связаны с особенностями экологической обстановки. Неблагоприятные условия являются определяющими, от них зависит проявление неспецифической реакции организма рыб, проявляющейся в виде гистопатологий. Доля особей, имеющих патологические отклонения от нормы, напрямую зависит от уровня антропогенной нагрузки [13].
Встречаемость морфологических нарушений определялась уровнем комплексного загрязнения водоема и является объективным индикатором морфологического состояния как отдельных особей, таки популяции в целом. В процессе исследования установлено, что у исследуемых личинок рыб интенсивность проявления патоморфологий была значительно ниже, что связано с их возрастом и незначительным периодом контакта с окружающей средой. Половозрелые особи имели более высокий уровень патологических проявлений. В большей степени были повреждены органы, которые напрямую контактируют с окружающей средой, а именно жабры. Патология жабр была обнаружена у 100 % обследованных особей. Особей с патологиями печени было немного меньше, изменения были зафиксированы
у 75 % половозрелых рыб и у 50 % личинок. Наиболее часто регистрируемой патологией печени являлась липоидная дегенерация (вакуольная дистрофия). Дегенеративные и некротические нарушения затрагивали почки, кишечник, селезенку. Доля особей с патологиями этих органов составляла от 20 % (для личинок) до 45 % (половозрелые особи). Основная масса исследованных рыб приспособилась к существованию с патологическими отклонениями за счет компенсаторных механизмов. Данное приспособление тоже имеет пределы и при ухудшении условий внешней среды может завершиться истощением функциональных особенностей. В селезенке взрослых особей обнаружено гранулематозное воспаление, что свидетельствует об инфекционных заболеваниях.
Заключение
В ходе проведенных гистологических исследований внутренних органов серебряного карася у личинок и половозрелых особей были обнаружены одни и те же виды морфологических изменений, что свидетельствует о неспецифическом характере выявленных патологий, которые, как правило, связаны с приспособлением организма к сложившимся условиям обитания. Прослеживается тенденция к повышению доли пораженных особей и интенсивности патологии с увеличением возраста рыб. Патологии, связанные с нарушением метаболизма, некротические повреждения клеток и тканей, расстройства кровообращения органов, признаки гиперплазии являются следствием воздействия факторов среды обитания и связаны с особенностями экологической обстановки. Встречаемость морфологических нарушений обусловлена уровнем комплексного загрязнения водоема и является объективным индикатором морфологического состояния как отдельных особей, так и популяции в целом. В большей степени были повреждены органы, которые напрямую контактируют с окружающей средой, а именно жабры. Наиболее часто регистрируемой патологией печени являлась липоидная дегенерация (вакуольная дистрофия). Гранулематозное воспаление в селезенке взрослых особей свидетельствует об инфекционных заболеваниях. В дальнейшем для выявления возбудителя данной инфекции следует продолжить и дополнить исследования, включая микробиологические и вирусологические методы диагностики.
1. Атлас пресноводных рыб России: в 2 т. / под ред. Ю. С. Решетникова. М.: Наука, 2002. Т. 1. 379 с.
2. Танасийчук Н. П. Изменения в распределении и составе ихтиофауны предустья реки Волги // Рыб. хоз. 1956. № 10. С. 51-56.
3. Ветлугина Т. А. Структура популяций карасей дельты Волги // Сб. науч. тр. ГосНИОРХ. 1984. Вып. 218. С. 98-100.
4. Кизина Л. П. Некоторые данные по биологии карасей род Carassius низовьев дельты Волги // Вопр. ихтиологии. 1986. Т. 26, вып. 3. С. 416-424.
5. Ветлугина Т. А. Эколого-биологические особенности состояния популяций серебряного крася и линя в дельте Волги и перспективы их промыслового использования: автореф. дис. … канд. биол. наук. Астрахань, 2005. 24 с.
6. Ермилова Л. С. Биология и промысел серебряного карася (Carassius auratus (Linnaeus, 1758)) в Волго-Каспийском и Северо-Каспийском рыбохозяйственных подрайонах (Астраханская область) // Рыб. хоз. 2018. № 4. С. 64-66.
7. Подушка С. Б. О причинах вспышки численности серебряного карася // Науч.-техн. бюл. лаб. ихтиологии ИНЭНКО. 2004. Т. 19. С. 5-15.
8. Подушка С. Б., Ивойлов А. А. Промысловая золотая рыбка - гиногенетическая форма // Науч.-техн. бюл. лаб. ихтиологии ИНЭНКО. 2009. № 15. С. 10-16.
9. Терпугова Н. Ю., Грушко М. П., Федорова Н. Н. Особенности формирования жабр у молоди воблы на нерестилищах дельты Волги // Вестн. Астрахан. гос. техн. ун-та. Сер.: Рыбное хозяйство. 2019. № 2. С. 66-71.
10. Волкова О. В., Елецкий Ю. К. Основы гистологии с гистологической техникой. М.: Медицина, 1982. 304 с.
11. Микодина Е. В., Седова М. А., Чмилевский Д. А., Микулин А. Е., Пьянова С. В. Гистология для ихтиологов. Опыт и советы. М.: Изд-во ВНИРО, 2009. 111 c.
12. Varello K., Prearo M., Burioli E. A. V., Pastorino P., Mugetti D., Meistro S., Righetti M., Bozzetta E. Mycobacterium fortuitum infection in silver arowana (Osteoglossum bicirrhosum) // Bulletin-European Association of Fish Pathologists. 2019. N. 39 (2). P. 83-88.
13. Минеев А. К. Неспецифические реакции у рыб из водоемов Средней и Нижней Волги // Изв. Самар. науч. центра Рос. акад. наук. 2013. Т. 15, № 3-7. С. 2301-2318.









