Россия
Россия
От химического, компонентного и дисперсного состава нефтей, газоконденсатов, нефтеподобных систем зависят их физико-химическое свойства и поведение в процессах добычи, транспортировки, переработки, хранении и применении нефтепродуктов. Для квалифицированного управления этими процессами необходимо понимать роль состава и структуры нефтяных дисперсных систем (НДС). Рассмотрены классические описания структурных элементов НДС, приведены их основные разновидности и типы. Показано, как при изменении внешних условий могут меняться размеры дисперсной фазы или сложной структурной единицы. Приведены модели структуры асфальтенов и смол, их состава и строения. Показано разнообразие подходов к описанию их строения и взаимодействия между собой, начиная от классических представлений Йена-Маллинса, до современных трактовок, базирующихся на данных спектральных анализов ядерного магнитного и электронного парамагнитного резонансов (ЯМР и ЭПР) микрофотографиях сканирующего электронного микроскопа, расчётных компьютерных программ. Рассмотрена гипотетическая модель сложной структурной единицы, образуемой различными группами органических соединений с позиций парных обменных взаимодействий на основе парамагнетизма смолисто-асфальтеновых молекул и соединений с высоким соотношением «углерод/водород». Приведены примеры строения сложных полигетерофазных нефтяных дисперсных систем, содержащих частицы механических примесей, глобул воды, пузырьки растворенных газов, демонстрирующие многоуровневую структуру НДС. Нефтяные дисперсные системы представляют собой, в силу чрезвычайного разнообразия входящих в них соединений и примесей, весьма сложные объекты, изучение состава и структуры которых необходимо для квалифицированного управления процессами добычи, переработки, транспортировки и хранения нефти и нефтепродуктов. Знание состава и структуры НДС, ее зависимость от внешних воз-действий, от изменения условий, влияющих на нее, возможность интенсификации технологических процессов. Полигетерогенный состав и многоуровневую структуру НДС необходимо учитывать при определении оптимальных воздействий на НДС в процессах добычи, транспортировки, переработки, хранении нефти и применении нефтепродуктов. Химический и компонентный состав НДС может быть проанализирован известными методами, в т. ч. методом колоночной хроматографии, а дисперсный состав темных нефтепродуктов определяют спектрофотометрическим методом.
нефтяные дисперсные системы, сложная структурная единица, агрегативные комбинации, ассоциативные комбинации, иммобилизованный слой, асфальтены, смолы, асфальтосмолистые вещества
Введение
Регулирование свойств нефтяных дисперсных систем (НДС) позволяет квалифицированно управлять процессами добычи, транспортировки, переработки углеводородного сырья и применения нефтепродуктов. Для этого необходимо понимать природу взаимодействия компонентов НДС, т. е. природу межмолекулярных взаимодействий, а также знать ее состав и структуру, ее зависимость от внешних воздействий, от изменения условий, влияющих на нее. Современные представления о природе межмолекулярных взаимодействий изложены в [1].
Сырая нефть, газовый конденсат, нефтепродукты, отходы переработки углеводородного сырья имеют чрезвычайно разнообразный компонентный и дисперсный состав, характеризующийся полигетерофазностью. Например, сырая нефть содержит растворенные газы, эмульгированную воду, механические примеси, причем их размеры достигают десятков и сотен микрометров. Более мелкие дисперсные частицы, размеры которых могут быть на несколько порядков меньше, представлены агломератами (надмолекулярными структурами) асфальтенов, смол, высокомолекулярных парафинов, т. е. нефтяная дисперсная система представляет собой многоуровневую систему, на каждом из которых преобладают дисперсная фаза и дисперсионная среда с определенными характеристиками.
Нефтяная дисперсная система, состоящая только из углеводородов и гетероароматических соединений разнообразного строения с высоким содержанием полициклических ароматических углеводородов, в качестве дисперсной фазы имеет самые тяжелые компоненты, такие как высокомолекулярные арены, смолы, асфальтены, карбены, карбоиды. Более легкие компоненты (ароматические соединения, нафтеновые и парафиновые углеводороды) при этом составляют дисперсионную среду.
Для парафинистого углеводородного сырья и нефтепродуктов дисперсная фаза при умеренных и низких температурах может быть представлена высокомолекулярными парафиновыми углеводородами или содержащими их фрагменты молекулами смешанного строения. Содержание парафинов
в нефтях может колебаться от долей процента до двадцати процентов. При определенной, достаточно низкой температуре кристаллы парафинов сцепляются, что приводит к возникновению пространственной гелеобразной структуры, в ячейках которой иммобилизована часть дисперсионной среды. Система при этом приобретает структурно-механическую прочность.
Вокруг дисперсной фазы или надмолекулярных структур, благодаря действию обменных взаимодействий и адгезионных сил, ориентируется часть жидкой фазы в виде сольватных слоев определенной толщины.
При появлении в составе таких НДС механических примесей, воды, растворенных газов, образуется новая дисперсная система, в которой рассмотренная выше углеводородная НДС может рассматриваться как сложная дисперсионная среда. В свою очередь частички механических примесей, глобулы воды или пузырьки газов становятся дисперсной фазой, вокруг которой выстраиваются сольватные слои.
Целью работы является рассмотрение современных гипотез о составе и строении нефтяных дисперсных систем.
Структурные элементы нефтяной дисперсной системы
Под структурными элементами НДС понимают совокупности взаимодействующих элементов дисперсной фазы, сохраняющие свои физико-химические характеристики и состав в пространстве и во времени. Частицы дисперсной фазы нефтяной дисперсной системы характеризуются определенной структурной организацией, от которой зависят свойства всей системы и ее восприимчивость к различным внешним воздействиям [2].
Согласно представлениям основоположника теории нефтяных дисперсных систем и регулируемых фазовых переходов проф. З. И. Сюняева [2], частица дисперсной фазы называется сложной структурной единицей (ССЕ). В соответствии с классическим определением проф. З. И. Сюняева, она представляет собой элемент дисперсной структуры нефтяных систем преимущественно сферической формы, способный к самостоятельному существованию при данных неизменных условиях и построенный из компонентов системы в соответствии с их значением потенциала межмолекулярного взаимодействия.
В составе дисперсной частицы различают более упорядоченную внутреннюю область (или ядро) и сольватную оболочку, окружающую ядро и образованную из соединений, менее склонных к межмолекулярным взаимодействиям с ядром (рис. 1).

а б в г
Рис. 1. Разновидности условной двухкомпонентной сложной структурной единицы с ядром, состоящим из:
а – пузырька газа; б – воды; в – высокомолекулярных парафиновых углеводородов; г – асфальтосмолистых веществ
Fig. 1. A conditional two-component complex structural unit with a core consisting of:
а – a gas bubble; б – water: в – high-molecular paraffin hydrocarbons; г – asphalt-resin substances
Изменение внешних условий вызывает в НДС гетерофазные флуктуации, приводящие к реорганизации структуры системы, т. е. изменению размеров и состава структурных элементов НДС.
В работе Б. П. Туманяна [3] сложная структурная единица представляется как элементарная составляющая ассоциативных и агрегативных комбинаций. Зародышевые комплексы НДС являются наименьшим образованием надмолекулярных структур, образующих новую фазу. Учитывая, что в нефтяной системе не представляется возможным выделить в качестве элементарной составляющей ассоциатов или агрегатов чистые молекулы веществ, а в этом процессе всегда участвуют их комбинации, предложено называть структурные образования нефтяной системы, включающие однотипные молекулы или их надмолекулярные фрагменты, ассоциативными комбинациями, а состоящие из разнотипных молекул или их молекулярных фрагментов – агрегативными комбинациями.
Ассоциаты, агрегаты или в целом ассоциативные или агрегативные комбинации могут быть низкотемпературными, среднетемпературными или высокотемпературными в зависимости от температурных условий их формирования, а также обратимыми либо необратимыми с учетом сохранения качественного молекулярного состава этих комбинаций в некотором интервале температур их существования.
В дальнейшем дисперсную фазу, представленную как сложными структурными единицами, так и ассоциативными или агрегативными комбинациями, будем объединять понятием ССЕ.
Состав и размеры элементов нефтяной дисперсной системы в свою очередь определяют восприимчивость системы в целом к различным внешним воздействиям. В зависимости от совокупности внешних параметров различные компоненты нефти могут находиться в составе дисперсионной среды или дисперсной фазы.
Наиболее распространенными нефтяными дисперсными системами являются системы с жидкой дисперсионной средой и дисперсной фазой-ядром
в твердом, жидком или газообразном состояниях.
В реальных условиях при внешних воздействиях на нефтяные дисперсные системы, например, в процессах их переработки, структурные элементы неф-
тяной дисперсной системы претерпевают непрерывные количественные изменения, приводящие в какой-то момент к изменению их качества.
Основные типы ССЕ, образованные из различных компонентов разного агрегатного и химического состава, приведены в табл. 1.
Таблица 1
Table 1
Основные типы ССЕ и их состав в нефтяных дисперсных системах различных типов
The main types of CSE and their composition in oil dispersed systems of various types
|
Состав ССЕ |
Тип НДС |
Примеры |
|
|
ядро |
оболочка |
||
|
Карбены, карбоиды |
Полициклические арены |
Необратимые золи |
Нефтяные пеки, смолы |
|
Асфальтены |
Моно-, би-, полициклические арены, смолы |
Обратимые золи и гели |
Масляные фракции, нефтяные остатки, нефтепродукты |
|
Высокомолекулярные парафины |
Смолоасфальтеновые |
Обратимые золи и гели |
Нефти и нефтяные фракции, нефтепродукты |
|
Пузырек газовой или паровой фазы |
Высококипящие |
Обратимые газовые |
Нефти с растворенными |
|
Глобула воды |
Смолоасфальтеновые |
Обратимые жидкие |
Водонефтяные эмульсии, |
|
Механические |
Смолоасфальтеновые |
Необратимые золи |
Нефти и нефтепродукты |
Таким образом, условно сферическая частица, состоящая в первом приближении из двух компонентов дисперсной фазы, имеет сольватную оболочку, толщина которой зависит от многих факторов: химического состава, соотношения компонентов, гидродинамических, температурных и прочих условий существования НДС.
Сольватная оболочка, рассматриваемая в вышеприведенных примерах как однородный слой, в реальности состоит из компонентов, отличающихся по химическому составу и силе взаимодействия с ядром. С определенной степенью условности ее также можно рассматривать как состоящую из различных слоев.
Как упоминалось выше, нефтяные дисперсные системы представляют собой метастабильную систему, в которой происходят процессы перехода компонентов дисперсной фазы в дисперсионную среду и наоборот. Самым уязвимыми слоями являются внешние, т. к. силы взаимодействия их с ядром наименьшие. Б. П. Туманян называет внешнюю оболочку вокруг дисперсной частицы иммобилизованным слоем. Он «привязан» к ядру при определенных условиях, при их изменений вследствие внешних воздействий этот слой может переходить в дисперсионную среду. Условно можно представить частицу дисперсной фазы, состоящей из ядра и двух оболочек, расположенную в дисперсионной среде (рис. 2).
Исследования состава ССЕ, проведенные учеными И. Р. Хайрудиновым и Ф. Г. Унгером [4, 5] с помощью радиоактивных меток показали, что в составе сольватных оболочек, выделенных из остаточных нефтепродуктов, присутствуют мальтены низкой молекулярной массы, нефтяные кислоты, тиолы, фенолы и другие гетероциклические соединения, обладающие слабыми парамагнитными свойствами. Наряду с этим присутствуют высокомолекулярные ароматические соединения и смолы, в которых парамагнетизм проявляется сильно. А в составе ядра жидких НДС могут быть плотные высокомолекулярные образования (см. табл. 1, рис. 2).

Рис. 2. Дисперсная фаза НДС в дисперсионной среде:
1 – ядро; 2 – внутренняя оболочка; 3 – внешняя оболочка или иммобилизованный слой; 4 – дисперсионная среда
Fig. 2. The dispersed phase of ODS in a dispersion medium:
1 – core; 2 – inner shell; 3 – outer shell or immobilized layer; 4 – dispersion medium
Нефть и нефтепродукты представляют собой уникальные системы, где в больших количествах присутствуют долгоживущие радикалы. Исследованиями Ф. Г. Унгера [5] установлено, что количество радикалов или парамагнитных центров составляет от 1017 (для нефтей и прямогонных газойлей) до 1022 спин/г (для асфальтенов, карбенов, карбоидов и тяжелых остатков, содержащие перечисленные соединения). Устойчивый парамагнетизм и «долгая жизнь» радикалов объясняется их недоступностью для рекомбинации вследствие стерических затруднений, т. к. они расположены внутри громоздких тяжелых и разветвленных молекул. Принимая молекулярную массу асфальтенов в среднем равной 2 000, можно предположить, что на каждую частицу асфальтена приходится до 10 неспаренных электронов, т. е. парамагнитной может быть каждая молекула в асфальтенах.
Модели структуры асфальтенов
Асфальтены, как известно, очень сложные, высокомолекулярные органические соединения, обедненные водородом. Кроме углерода и водорода они содержат серу, азот и кислород и имеют ароматический характер и алифатические боковые цепи. Асфальтены классифицируют по строению молекул на «континент» и «архипелаг». В первому типу относятся молекулы, имеющие ароматические и нафтеновые циклы, преимущественно конденсированные между собой (рис. 3), ко второму типу относятся молекулы, имеющие более линейную структуру, где фрагменты с конденсированными кольцами соединены между собой короткими линейными связями [6–10].

Рис. 3. Структура молекулы асфальтена
Fig. 3. The structure of the asphaltene molecule
Авторами [6] установлено, тип молекул асфальтенов существенно влияет на многие свойства НДС. Так, например, если в молекулярных структурах преобладает тип «континент», то система является инициатором или пропагаторами агрегирования, если «архипелаг» – то терминаторами агрегирования.
Данные спектроскопии ядерного магнитного резонанса (ЯМР) на протонах и ядрах показывают, что доля ароматических атомов углерода в молекулах нативных асфальтенов составляет 40–50 %, асфальтены из слабометаморфизированных нефтей обладают меньшей степенью ароматичности – до 40 %. Относительное распределение атомов углерода в ациклических (Сн) и алифатических (Сn) структурах, входящих в молекулы САВ нефтей различных месторождений, изменяется в широких пределах – от 44 до 69 %. Многочисленные работы по спектральному и масс-спектрометрическому методам анализа показали, что самыми распространенными заместителями в циклических структурах асфальтеновых веществах являются алкильные группы С1–С5, в первую очередь, метильные, но в небольших количествах обнаружены и более крупные алкильные группы, содержащие до 10, 11 атомов углерода, причем относительное содержание алифатических заместителей снижается с удлинением цепи [8–10].
Классическая модель Йена-Маллинса описывает процесс образования продуктов уплотнения из асфальтеновых молекул [11, 12]. Образование плотного асфальтенового ядра происходит последовательно от объединения отдельных молекул асфальтенов через наноагрегаты к кластерам (рис. 4).

Рис. 4. Модель молекулярной и коллоидной структуры асфальтенов Йена-Маллинса
Fig. 4. A model of the molecular and colloidal structure of Ian-Mullins asphaltenes
Модель также предлагает подробное описание состава и структуры асфальтенового ядра, состоящего из кластеров, связанных между собой и содержащих асфальтеновые кластеры, мицеллы, смолы, порфирины, соединенные между собой различной силой связями (рис. 5).

Рис. 5. Макроструктура асфальтенов: A – кластеры; B – объединение боковых цепей;
C – структурная частица (элементарное звено); D – мицелла; E – слабая связь; F – зазор; G – внутрикластерное взаимодействие; H – межкластерный ассоциация;
I – молекула смол; J – однослойный элемент; K – порфирин; L – металл
Fig. 5. Macrostructure of asphaltenes: A – clusters; B – unification of side chains;
C – structural particle (elementary link); D – micelle; E – weak bond; F – gap; G – intracluster interaction; H – intercluster association;
I – resin molecule; J – single–layer element; K – porphyrin; L – metal
Исследователи И. П. Суховило и С. М. Ткачев [13] различают несколько уровней агрегации асфальтенов: молекулы ® мицеллы ® везикулы или стержни ® супермалые торы ® малые торы ® средние торы ® большие торы. Начало образования мицеллы они связывают с наличием основности или кислотности асфальтенов, т. е. с электростатическими силами.
В отличие от модели Йена-Маллинса формируемая мицелла имеет жидкоподобное ядро, образованное из полярных головок или углеводородных хвостов
в зависимости от мицеллярного раствора. Следует отметить, что наличие электростатического взаимодействия в НДС крайне маловероятно, что показано многочисленными исследованиями Ф. Г. Унгера.
Рассмотренная центрально-сферическая организация структуры коллоидной частицы с асфальтеновым ядром, которая своим силовым воздействием упорядочивает окружающие молекулы определенным образом, представляет собой модель «ONION SKIN». Слои сольватной оболочки окружают ядро дисперсной частицы подобно луковой шелухе.
Другой моделью организации структуры асфальтенового ядра, является пачечная модель «PLATE TO PLATE». Эта структура образуется путем плоскопараллельной ориентации полиароматических фрагментов разных молекул. Их объединение в результате межмолекулярных (π–π, донорно-акцепторных и др.) взаимодействий происходит с образованием слоистых пачечных структур. В соответствии c моделью Йена-Маллинса (см. рис. 5) на основе данных рентгеновской дифракции асфальтены имеют кристаллическую структуру и представляют собой пачечные структуры диаметром 0,9–1,7 нм из 4–5 слоев, отстоящих друг от друга на 0,36 нм. Прямолинейными отрезками показаны плоские полиароматические, а ломаными – насыщенные фрагменты молекул.
Полиароматические фрагменты представлены сравнительно некрупными, чаще всего не более, чем тетрациклическими, ядрами. Из алифатических фрагментов наиболее распространенными являются короткие алкильные группы, но присутствуют и линейные разветвленные алкилы, содержащие 10 углеродных атомов и более. В рамках модели Йена-Маллинса (см. рис. 5) предполагается несколько уровней структурной ассоциации асфальтенов.
На рис. 6 представлены фотографии поверхности асфальтенов [14], полученные с помощью сканирующего электронного микроскопа.

Рис. 6. Микрофотографии различных участков поверхности асфальтенов гудрона
западносибирской нефти (а), сырья гидроконверсии (б), карбоновой нефти (в, г)
Fig. 6. Micrographs of various surface areas of asphalt tar
west Siberian oil (а), hydroconversion raw materials (б), carbon oil (в, г)
Изображения получены 10 000-м увеличением для гудронов из нефтей разной природы и продуктов гидроконверсии. Видно, что поверхность асфальтенов, выделенных из гудронов 40-кратным избытком н-алкана, заметно различается для исследованных образцов.
Для образцов из гудрона западносибирской нефти поверхность рыхлая, возможно, из-за фрактального строения асфальтенов. Для асфальтенов из гудронов тяжелых, вязких, смолистых, сернистых карбоновых нефтей с высоким отношением С/Н поверхность слоистая, вероятно, имеет место структура «PLATE TO PLATE». Поверхность асфальтенов гудрона – сырья гидроконверсии – представлена шероховатой структурой. Подобная структура связана с наличием концевых алифатических и ациклических фрагментов, которое приводит к появлению выпуклостей и искривлений в асфальтеновых наноагрегатах, что затрудняет образование более плотной и упорядоченной упаковки.
Модели структуры смол
Молекулы смол имеют, как известно, меньшую молекулярную массу и большее соотношение Н/С, чем асфальтены. По строению смолы ближе к асфальтенам типа «архипелаг», однако фрагменты конденсированных ароматических и нафтеновых колец значительно меньше по размеру. В их составе больше гетероциклических элементов и более длинных связей, соединяющих конденсированные фрагменты. Причем среди этих связей встречаются кислородные мостики. Некоторые примеры строения молекул смол приведены на рис. 7.

Рис. 7. Структуры различных молекул смол
Fig. 7. Structures of various resin molecules
Сравнительные характеристики смол и асфальтенов приведены в табл. 2. Состав и строение смол также чрезвычайно разнообразно.
Таблица 2
Table 2
Характеристики состава и строения смол и асфальтенов
Characteristics of the composition and structure of resins and asphaltenes
|
Параметр |
Пределы изменений |
|
|
для смол |
для асфальтенов |
|
|
Молекулярная масса |
465–1 080 |
1 200–3 250 |
|
Содержание гетероатомов, % масс.: |
|
|
|
– азота |
0,6–3,2 |
0,4–2,0 |
|
– серы |
0,7–3,7 |
0,5–10,3 |
|
– кислорода |
0,2–7,7 |
0,5–4,9 |
|
Распределение углерода, %: |
|
|
|
– Саром |
28–46 |
40–54 |
|
– Снафт |
0–56 |
9–45 |
|
– Салк |
12–62 |
6–43 |
|
Число ароматических ядер в молекуле |
1,3–2,7 |
2,1–4,7 |
|
Число парамагнитных центров, спин/г |
1015–1018 |
1019–1021 |
Модель агрегативной комбинации Ф. Г. Унгера
Как упоминалось выше, НДС могут содержать в виде дисперсной фазы агрегаты высокомолекулярных парафиновых углеводородов при умеренных и пониженных темепратурах. В этом случае ССЕ, образованная из молекул алканов, представляет собой агрегат с параллельной укладкой молекул, способный самостоятельно существовать в равновесных условиях. При этом склонность молекул к ассоциации возрастает по мере перехода к высокомолекулярным алканам.
ССЕ, ядра которых образованы асфальтенами
и алканами, характеризуются обратимым переходом от молекулярного к дисперсному состоянию и наоборот под действием внешних факторов. В отличие от них ССЕ, ядра которых образованы карбенамии карбоидами, являются необратимыми дисперсными образованиями, что обусловлено ярко выраженными парамагнитными свойствами высококонденсированных ароматических гетероциклических структур асфальтенов, карбенов и карбоидов.
С позиций парамагнитной природы асфальтенов Ф. Г. Унгером предложена следующая модель агрегативной комбинации или ССЕ в виде структуры «ONION SKIN», включающей [5]:
– ядро, состоящее из парамагнитных молекул, наиболее между собой энергично взаимодействующих, но нерекомбинировавших ввиду стерических затруднений;
– оболочку, содержащую молекулы смол, которые при малейших энергетических воздействиях переходят в триплетное бирадикальное состояние или диссоциируют на радикалы;
– ряд следующих оболочек, состоящих из молекул, энергия взаимодействия которых уменьшается от ядра к периферии;
– дисперсионную среду, в которой ассоциативные или агрегативные комбинации перемещаются, подвергаясь разрушению и восстановлению при воздействии молекул и частиц с соответствующей кинетической энергией.
На рис. 8 приведена модель структурной единицы, предложенная Ф. Г. Унгером, образованная различными группами углеводородов.

Рис. 8. Гипотетическая модель структурной единицы, образуемой различными структурными группами соединений, присутствующих в НДС: R* – радикалы ядра R; r – расстояние от центрального ядра R; D – дисперсионная среда; A1–A5 – ароматические углеводороды; G1–G5 – гетеросоединения; NA1–NA5 – нафтено-ароматические углеводороды; PN1–PN3 – парафино-нафтеновые углеводороды с признаками спиновой поляризации; PND – парафино-нафтеновые углеводороды дисперсионной среды без признаков спиновой поляризации.
Номера типов соединений соответствуют убывающим индексам свободной валентности с ростом номера типа;
I – ступенчатая диаграмма распределения потенциалов парных взаимодействий между молекулами парных взаимодействий отдельных слоев и среды;
Е – уровень потенциалов парных взаимодействий между молекулами отдельных слоев
Fig. 8. A hypothetical model of a structural unit formed by various structural groups of compounds present in the VAT:
R* – radicals of the core R; r – distance from the central core R; D – dispersion medium; A1–A5 – aromatic hydrocarbons; G1–G5 – heteroconnections; NA1–NA5 – naphthenic-aromatic hydrocarbons;
PN1–PN3 – paraffin-naphthenic hydrocarbons with signs of spin polarization; PND – paraffin-naphthenic hydrocarbons of a dispersion medium without signs of spin polarization.
The numbers of the types of compounds correspond to a decreasing free valence index with an increase in the type number; I – step diagram of the distribution of potentials of paired interactions
between molecules of paired interactions of individual layers and the medium; E – is the level of potentials of paired interactions between molecules of individual layers
Ступенчатость может быть выражена весьма четко при большом различии потенциалов парного взаимодействия молекул разных слоев, если кинетическая энергия молекул не перекрывает разность потенциала парного взаимодействия сольватных слоев.
Гетеросоединения, в т. ч. смолы как ароматические, так и неароматические, могут располагаться в слоях, начиная с первого, поскольку именно они отличаются низким уровнем обменной корреляции, т. е. обладают наименьшей энергией разрыва связей или перехода в триплетное состояние, являясь «сырьем производства свободных радикалов».
Таким образом, для существования дисперсной фазы в дисперсионной среде необходимы следующие условия: наличие градиента потенциала парного взаимодействия молекул от ядра к периферии; потенциал парного взаимодействия молекул последнего сольватного слоя должен быть меньше такового молекул предыдущих слоев; потенциал парного взаимодействия молекул дисперсионной среды должен быть меньше такового последнего сольватного слоя дисперсной частицы.
Приведенная модель описывает наиболее распространенные структуры для жидких нефтепродуктов, нефтей и нефтеподобных веществ.
Модели самоорганизующихся структур НДС
Кроме коллоидно-химического способа описания структур НДС применяют способ, основанный на физических теориях для открытых систем, находящихся в состоянии тепло- и массообмена с окружающей средой. В частности, с позиций синергетики нефтяные системы описывают как самопроизвольно организующиеся динамические структуры, состоящие из множества молекул и проявляющие коллективные свойства. Эти явления могут происходить как под влиянием внешних факторов, так и в их отсутствии. Происходит самосогласованное коллективное поведение ансамбля частиц. В синергетике самоорганизующиеся структуры называют диссипативными. Именно такой тип частиц представляют собой НДС – динамические, сложноустроенные образования, способные к перестройке под влиянием внешних воздействий или в результате процессов тепло- и массопереноса в открытых системах, а также протекания химических реакций. Установлено возникновение диссипативных структур при использовании смазочных материалов, в проточных реакторах постоянного перемешивания, в условиях окисления углеводородных топлив и т. п. [15].
Используется также фрактальная теория для решения научных и прикладных задач, касающихся НДС. Она возникла на стыке физики неупорядоченных частиц, физической химии, моделирования и программирования. В основе этой теории лежит свойство материи к самоподобию, т. е. если в окрестностях выбранной точки выделить область небольшого объема, то попадающие в него участки фрактала являются подобными в физическом смысле. Однородность указывает на одинаковый алгоритм построения фрактала. Однако минимальный размер структуры не влияет на фрактальную размерность, она инвариантна. Масштабная инвариантность, или скейлинг, означает, что независимо от масштаба измерения система проявляет одинаковые свойства, которые могут быть описаны некоторыми показателями, например, модели фрактального роста кластеров [15, 16].
К типу фрактальных структур могут быть причислены асфальтеновые частицы. Методами вискозиметрии и спектроскопии электронного парамагнитного резонанса (ЭПР-спектроскопии) установлена фрактальная размерность пеков и предложена модель фрактальной структуры асфальтенов пека (рис. 9) в виде надмолекулярных образований с парамагнитным каркасом (толстые линии). На «ветках» асфальтенового каркаса адсорбированы смолы (пунктирные линии).

Рис. 9. Фрактальная модель асфальтеновой агрегации кластеров пека:
1 – жесткий парамагнитный каркас; 2 – сольватный слой, образованный смолами; 3 – дисперсионная среда
Fig. 9. Fractal model of asphaltene aggregation
of peck clusters: 1 – rigid paramagnetic frame; 2 – solvate layer formed by resins; 3 – dispersion medium
Для рассмотрения механизмов образования элементов дисперсной фазы в нефтяных системах можно рассмотреть надмолекулярные структуры
в виде жестких тел с малыми размерами, определенной формы и некоторым запасом поверхностной энергии, способствующей взаимодействию этих тел, с образованием пространственных структур наивыгоднейшей конфигурации, т. е. наиболее компактных и с минимально возможным объемом.
Размеры частиц дисперсной фазы в нефтяных системах, как показано в работах Р. А. Галимова [17], изменяются в широких пределах от нескольких единиц до тысячи нанометров в зависимости от природы и компонентного состава НДС. Условия среды также оказывают большое влияние на состав и размеры дисперсной фазы нефтяных систем. По данным С. А. Апостолова, природные нефтяные дисперсные системы, содержащие асфальтено-смолистые вещества, образуют и более крупные ассоциированные комплексы, молекулярные массы которых достигают 50 000–100 000.
Размеры и количество асфальтеновых агрегатов, а вместе с ними размеры частицы дисперсной фазы, могут увеличиваться до такой степени, что их доля может превысить долю дисперсионной среды. Такое явление наблюдали Р. А. Кемалов и соавторы при изучении поведения девонских нефтей и менее подвижных нефтей каменноугольных отложений.
Состав и строение полигетеродисперсных нефтяных систем
Реальные нефтяные системы, как уже упоминалось выше, такие как нефть, газоконденсат, дистиллятные и остаточные нефтепродукты, продукты вторичных процессов нефтепереработки отличаются еще большим разнообразием своего состава. Кроме углеводородных молекул и гетероатомных соединений они содержат различные примеси и включения: неорганические вещества, такие как механические примеси разного рода, воду с растворенными в ней минеральными солями, растворенные углеводородные и неорганические газы.
Размеры частиц дисперсной фазы углеводородной части и размер примесей может отличаться на несколько порядков. На устойчивость таких грубодисперсных систем влияют многие факторы, одним из которых является оболочка (или броня), создаваемая на поверхности раздела фаз.
К примеру, на поверхности частичек механических примесей могут адсорбироваться смолисто-асфальтеновые вещества, как наиболее активные поверхностно-активные вещества (ПАВ), которые в свою очередь, в результате процессов самоорганизации притягивают другие компоненты нефтяной системы в соответствии с потенциалами парных взаимодействий. Они создают новые слои оболочки на поверхности твердой частицы. В первом и во втором слое вместе они образуют барьер, препятствующий сближению и слипанию частиц механических примесей. При этом дисперсионной средой будет служить углеводородная составляющая (представляющая на наноуровне ССЕ со своей дисперсионной средой), а дисперсной фазой – частицы механических примесей (рис. 10).

Рис. 10. Фрагмент полигетеродисперсной НДС, содержащей механические примеси
Fig. 10. Fragment of polyheterodisperse VAT containing mechanical impurities
Аналогичным образом образуются и полигетеродисперсные нефтяные системы, содержащие глобулы воды, образующие обратную эмульсию (рис. 11).

Рис. 11. Фрагмент полигетеродисперсной НДС, содержащей глобулы воды
Fig. 11. Fragment of polyheterodisperse VAT containing water globules
Различные ПАВ, содержащиеся в нефти, такие как нативные САВ или технологические добавки, вводимые на этапе добычи нефти, адсорбируются на границе раздела фаз и создают слои в соответствии с межмолекулярными взаимодействиями между парамагнитными или заряженными частицами, содержащимися в окружающей среде [18].
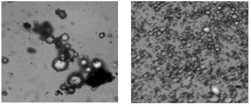
Микрофотографии эмульсии «вода в нефти» с различным содержанием воды и составом нефти показаны на рис. 12.

Рис. 12. Микрофотографии водонефтяных эмульсий типа «вода в нефти»
Fig. 12. Micrographs of oil-water emulsions of the “water in oil” type
Из рис. 12 видно, что глобулы воды окружены оболочкой, которую также называют в технической литературе броней, шубой или скорлупой.
Бронирующие оболочки на глобулах воды, образованные из нативных САВ и других ПАВ, ответственны за устойчивость эмульсии, т. к. препятствуют слиянию или коагуляции глобул воды.
На фотографии видно, что даже при сближении глобул воды, они не коагулируют, т. к. разделены бронирующими оболочками.
Растворенные в нефти и нефтепродуктах газы образуют обратимую газовую эмульсию (рис. 13). На поверхности пузырька раздела фаз газ-жидкость образуется сольватная оболочка или пленка из поверхностно-активных нативных и введенных веществ.

Рис. 13. Модель газового пузырька сероводорода, растворенного в мазуте [19]
Fig. 13. Model of a hydrogen sulfide gas bubble dissolved in fuel oil [19]
Устойчивость газовой эмульсии зависит во многом от прочности сольватной оболочки на поверхности раздела газовой и жидкой фаз.
Заключение
НДС представляют собой, в силу чрезвычайного разнообразия входящих в них соединений и примесей, весьма сложные объекты, изучение состава и структуры которых необходимо для квалифицированного управления процессами добычи, переработки, транспортировки и хранения нефти и нефтепродуктов. Знание состава и структуры НДС, ее зависимость от внешних воздействий, от изменения условий, влияющих на нее возможность интенсификации технологических процессов. Необходимо учитывать полигетерогенный состав и многоуровневую структуру НДС при определении оптимальных воздействий на них.
Химический и компонентный состав НДС анализируют известными методами, в т. ч. методом колоночной хроматографии [20], а дисперсный состав темных нефтепродуктов определяют спектрофотометрическим методом [21].
1. Пивоварова Н. А. Особенности межмолекулярного взаимодействия в нефтяных дисперсных системах // Нефтегазовые технологии и экологическая безопасность. 2023. № 2. С. 23-33.
2. Сюняев З. И., Сафиева Р. З., Сюняев Р. З. Нефтяные дисперсные системы. М.: Химия, 1990. 224 с.
3. Туманян Б. П. Научные и прикладные аспекты теории нефтяных дисперсных систем. М.: Техника; ТУМА ГРУПП, 2000. 336 с.
4. Хайрудинов И. Р. Применение метода радиоактивных индикаторов для изучения термолиза компонентов сернистого остаточного сырья // Исследование состава и структуры нефтепродуктов: сб. науч. тр. БашНИИ НП. М.: ЦНИИ информ. и техн.-экон. исслед. нефтеперераб. и нефтехим. пром-сти, 1986. Вып. 25. С. 41-47.
5. Унгер Ф. Г. Фундаментальные и прикладные результаты исследования нефтяных дисперсных систем. Уфа: Изд-во ГУП ИНХП РБ, 2011. 264 с.
6. Зайцева О. В. Магомадов Э. Э., Кадиев Х. М., Чернышева Е. А., Капустин В. М., Хаждиев С. Н. Исследование структурных превращений молекул асфальтенов в процессе гидроконверсии гудрона при различных температурах в присутствии наноразмерных частиц дисцльфида молибдена // Нефтехимия. 2013. Т. 35, № 5. С. 349-356.
7. Доломатов М. Ю., Шуткова С. А., Шарипова Т. И., Бахтизин Р. З., Доломатова М. М., Латыпов К. Ф., Гильманшина К. А., Батретдинов Б. Р. Структура молекул асфальтенов и нанокластеров на их основе // Нефтехимия. 2020. Т. 60, № 1. С. 20-25.
8. Галимова Г. А., Юсупова Т. Н., Ибрагимова Д. А., Якупов И. Р. Состав, свойства, структура и фракции асфальтенов нефтяных дисперсных систем // Вестн. Казан. ун-та. 2015. Т. 18, № 20. С. 60-64.
9. Чешкова Т. В., Сергун В. П., Коваленко Е. Ю., Сагаченко Т. А., Мин Р. С. и др. Структура асфальтенов нефтей различной химической природы // Изв. Том. политехн. ун-та. Инжиниринг георесурсов. 2018. Т. 329, № 9. С. 61-71.
10. Xiong. R, Guo, J., Koyingi, W., Feng, H. Method for Judging the stability of asfaltenes in crude oil // ACS Omega. 2020. N. 5. P. 21420-21427. DOI:https://doi.org/10.1021/acsomega.0c01779.
11. Yen T. F., Erdman J. G., Pollack S. S. In vestigation of the Structure of Petroleum Aspha ltenes by X-Ray Diffraction // Analytical Chemistry. 1961. N. 33, Iss. 11. P. 1587-1594.
12. Mullins O. S., Sheu E. Y., Hammami A., Marshal A. G. Ashfaltenes, heavy oils and petroleomics. New York & Springer, 2006. 692 p.
13. Суховило Н. П., Ткачев С. М. Энергия взаимодействия в надмолекулярных образованиях асфальтеновых веществ // Тр. БГТУ. Химия технология органических веществ и биотехнология. 2013. № 4. С. 8-12.
14. Kadiev Kh. M. Oknina N. V., Gyulmaliev A. M., Kadieva M. Kh., Batov A. T., Daddaev A. U. Modeling the reactions of Converting heteroatom-components of heavy oil fractions during hydroconversion // Research jornal of pfarmaceutical, diologocal and ghemocal science. 2016. Vol. 7.•N. 5. P. 715-728.
15. Сафиева Р. З., Мишин В. Д. Системный анализ развития представлений о нефтяных системах: от химии к петроинформатике // Петролеомика. 2021. Т. 1, № 1. С. 2-18.
16. Злобин А. А. Изучение структурной организации нефтяных дисперсных систем // Вестн. ПНИПУ. Геология. Нефтегаз. и гор. дело. 2015. № 17. С. 41-53.
17. Галимов Р. А. Влияние внешних воздействий на размеры частиц нефтяных дисперсных систем // Вестн. технолог. ун-та. 2015. Т. 18, № 4. С. 120-124.
18. Небогина Н. А., Прозорова И. В., Юдина Н. В. Исследование формирования эмульсий и осадкообразования высокопарафинистых нефтей // Oil & Gas Journal. 2008. № 6. С. 94-97.
19. Pivovarova N. A., Vlasova G. V., Akishina E. S., Ryzhova M.V. Relationship between the Degree of Disper-sion of Fuel Oil and the Degree of Removal of Hydrogen Sulfide from it // Petroleum Chemistry. 2020. Vol. 60. P. 716-721.
20. Татжиков А. Д. Изучение группового состава мазута методом колоночной хроматографии // Материалы 72-й Международ. студ. науч.-техн. конф., Астрахань, 18-23 апреля, 2022 г. Астрахань: Изд-во АГТУ, 2022. URL: http://astu.org/Content/Page/5833 (дата обращения: 23.08.2023).
21. Пивоварова, Н. А., Акишина, Е. С. Определение дисперсности в темных нефтяных средах // Нефтегазовые технологии и экологическая безопасность. 2023. № 1. С. 22-28.



